
A crossbite is often seen as a dental alignment issue, but its impact goes beyond how your teeth fit together. Over time, an untreated crossbite can influence jaw position, facial symmetry, and the overall appearance of your smile. Many people may notice subtle changes such as a shifted chin, uneven jawline, or an imbalanced smile without realising that their bite may be the underlying cause.
Understanding how a crossbite affects facial structure can help you recognise early signs and seek timely correction.
Table Of Content
What Is a Crossbite?
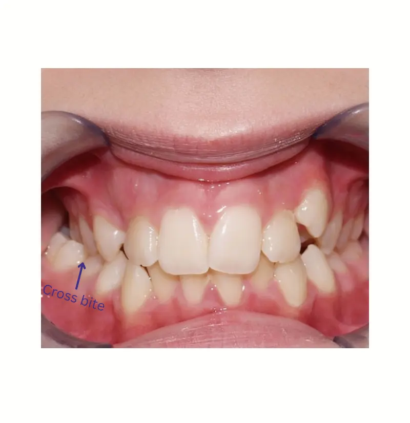
A crossbite happens when the upper teeth bite inward, fitting behind the lower teeth instead of over them. In a healthy bite, the upper teeth should rest slightly outside the lower teeth, allowing the jaws to close in a balanced and stable position.
When this relationship is reversed, the jaw often compensates to achieve a comfortable bite. This compensation, when repeated daily during chewing and speaking, can gradually affect jaw alignment and facial balance.
Different Types of Crossbite
Anterior Crossbite

An anterior crossbite affects the front teeth, where the upper front teeth bite behind the lower front teeth.
This can make the smile look reversed and may influence the position of the lower jaw over time.
Posterior Crossbite

A posterior crossbite affects the back teeth, causing the upper molars to bite on the inner side of the lower molars. This often leads to uneven chewing and increased stress on one side of the jaw.
Unilateral Crossbite

A unilateral crossbite occurs on one side of the mouth only.
Because one side bites differently, the jaw tends to shift toward that side, increasing the risk of facial asymmetry.
Bilateral Crossbite

A bilateral crossbite affects both sides of the mouth.
In many cases, the upper jaw is narrower than normal, which can make the smile appear tight or compressed.
How Crossbite Leads to Facial Asymmetry
The teeth and jaws are closely connected to facial growth and muscle function. When a crossbite is present, the jaw often moves away from its natural position to allow the teeth to meet.
Over time, this can lead to:
- Uneven jaw growth, especially in children and teenagers
- A jawline that appears slightly tilted
- Chin deviation from the centre
- Facial muscles developing unevenly on each side
Because these changes happen gradually, facial asymmetry caused by a crossbite may become noticeable only after several years.
Common Aesthetic Signs of a Crossbite
People with a crossbite often notice visual changes such as:
- A chin that points slightly to one side
- Uneven cheek fullness
- An off centre dental midline
- A crooked or slanted smile
- Narrow smile width
- One side of the face appearing flatter than the other
These signs may become more prominent if the crossbite remains untreated.
Functional Problems That Affect Appearance
Beyond aesthetics, a crossbite can cause functional issues that indirectly influence facial appearance:
- Jaw strain and TMJ discomfort
Constant jaw shifting can alter facial posture and muscle tension. - Uneven tooth wear
Teeth may wear down unevenly, changing tooth height and smile balance. - Chewing imbalance
Favoring one side for chewing can lead to uneven jaw and muscle development.
These functional problems often contribute to visible facial imbalance over time.
Treatment Options for Crossbite
Treatment depends on the type and severity of the crossbite, as well as age and jaw structure.
Clear Aligners
Clear aligners are commonly used for mild to moderate crossbite cases. They gradually guide teeth and bite alignment into a healthier position.
Braces
Braces are suitable for moderate to complex cases that require more controlled tooth movement.
Palatal Expander
Primarily used for children and teenagers, a palatal expander widens the upper jaw to correct narrow arches and support balanced facial development.
Jaw Surgery
In severe skeletal crossbite cases, surgical correction may be needed to reposition the jaws.
Clear Aligners for Crossbite Correction
Clear aligners offer a discreet and comfortable way to correct crossbite in suitable cases. They work by applying controlled, gradual forces to move teeth and improve bite alignment.
Benefits of clear aligners include:
- Nearly invisible appearance
- Removable for eating and oral hygiene
- Improved comfort compared to traditional braces
- Ability to correct both tooth alignment and bite position
When planned and monitored properly, aligners can help restore bite balance and support improved facial symmetry.
When Should You Seek Treatment?
An orthodontic consultation may be necessary if the following symptoms are present:
- Jaw shifting when closing your mouth
- Uneven or narrow smile
- Chin appearing off centre
- Difficulty chewing on both sides
- Jaw clicking, strain, or discomfort
- Bite issues worsening over time
Early treatment is often simpler and can prevent long term changes in jaw position and facial balance.
Conclusion
A crossbite doesn’t just affect how your teeth align, it can influence facial symmetry, jawline definition, and overall comfort. Correcting the bite helps the jaw function in a more natural position, improving both appearance and long term oral health.
If you’ve noticed signs of facial imbalance or an uneven bite, exploring available crossbite correction options can be an important first step. You may also learn more about orthodontist guided clear aligner treatments and find trusted clinics near you to choose a solution that suits your needs.
You may also learn more about professionally guided clear aligner treatments and find trusted clinics near you to choose a solution that suits your needs.





